Dental crowns are one of the most common dental procedures a dentist performs. They do everything from protecting a damaged tooth to enhancing your smile. Here is everything you need to know about dental crowns, including their purpose, types, procedure, care, and cost.

What Is A Dental Crown?

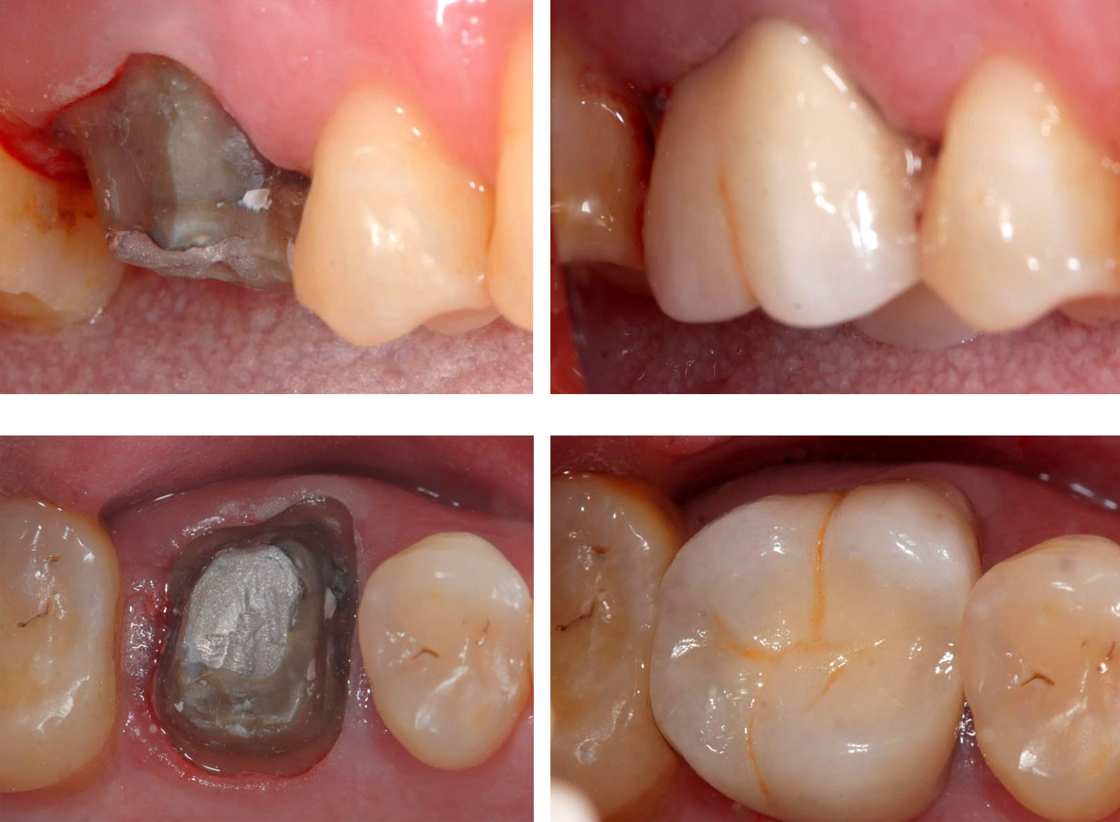
A dental crown is a cap that your dentist puts over a tooth to replace the natural tooth crown (visible portion of the tooth). Dental crowns are permanently cemented onto teeth that have cracked, damaged, or excessively decayed. The dental crown restores the original shape, size, and function of the tooth.

When Is A Dental Crown Needed?

A dentist may recommend a dental crown if:

  • The tooth cavity is too large for a filling
  • You have a weakened tooth, either because it’s cracked or excessively worn down
  • You had a root canal treatment and a crown is needed to help protect the restored tooth
  • You had a dental implant placed
  • Your tooth is discolored or oddly shaped and you want to improve the aesthetic appearance of your tooth

Crowns are made from various materials, like ceramic , lithium disilicate , zirconia , porcelain fused to metal depending on your preference, the tooth location, how visible it is in the mouth, etc. Some common dental crowns include:

Porcelain-fused-to-metal (PFM)

This crown provides a strong bond to the tooth because it is connected to a metal structure, thus it is extremely durable. In addition, the porcelain part of the crown blends well with natural teeth, which makes this type of crown aesthetically and functionally the best option.

Zirconia

These crowns are made up of a white powdered metal (zirconium oxide), which does not produce a toxic response to living tissue for people who suffer from allergies. Zirconia crowns are highly recommended because they can withstand chewing and biting forces even if you have bruxism, and they can be made to match your natural teeth.

Lithium Disilicate Crowns

These are a type of ceramic crowns which are preferred in cases with high aesthetic demand. Moreover they have high resistance and strength and are much kinder to the existing natural teeth.

It typically takes two- three dental visits to complete dental crown placement. The following steps are involved:

  • Tooth preparation. Any decay in the tooth is removed via root canal and the outer portion of your tooth is shaved down to fit the crown.
  • Taking an impression. An impression of your tooth is made to provide the exact model for your crown.
  • Temporary crown placement. The dentist will place a temporary crown if need be and send your impressions to a lab, where a permanent crown is made. You typically will wait for a week .
  • Permanent crown cementation. When the permanent crown is ready, you will come in for your second dental visit. Your dentist will place the crown in your mouth, adjust it as needed, and cement the permanent crown into place.

And there’s more good news: there are other options for improving the function and appearance of your teeth. Inlays, onlays, and veneers can all be used to restore your tooth. You may have heard of veneers, but you might not have heard of an inlay or an onlay so you might not know the differences between these three treatments. To help you understand each treatment, we’ve broken down each one.

Inlays, onlays, and veneers are all dental restorations that cover part of a tooth’s surface instead of covering the entire tooth such as a dental crown does. Inlays only cover the chewing surface of your tooth and leave the cusps (which are its raised edges and sides) of your tooth unaffected. Onlays are very similar, but they cover one of your tooth’s cusps and sides in addition to its chewing surface. This earns it the rather descriptive title, “partial crown.” In contrast, veneers are tooth-shaped porcelain shells that adhere to the front surface of your teeth. Inlays, onlays, and veneers are all often made from porcelain and are custom made for your mouth. This enables inlays and onlays to fit the shape of your natural tooth and its chewing surface so that your bite feels just as natural as your restored tooth looks.

All three treatments can be used in both restorative and cosmetic dentistry. Inlays and onlays are most frequently used to treat decay that’s too advanced to be resolved with a simple filling but not major enough to require a dental crown. When placed on your tooth, an inlay or onlay seals the vulnerable part of your tooth off and works to prevent future decay or injury. They can also be used to treat a cracked or broken tooth, restoring its function, biting power, and appearance all at once.

Veneers are most often used in cosmetic dentistry to improve the appearance of your smile. They can cover stains, close gaps in your smile, and make slightly crooked teeth appear straighter. They can even transform the entire appearance of your smile by changing the shape and size of your teeth. Veneers help treat more than surface-level issues, however, as they can also be placed on teeth that have been chipped, cracked, or suffered from enamel erosion. Since they’re placed over the top of your enamel, they act as a shield against decay and reduce tooth sensitivity from enamel erosion. This makes them ideal to restore damage to the front of your teeth or to resolve issues with their appearance.